Continuing Education for Doctors of Chiropractic
For state CE credit for Livestream or On Demand attendance with 6-12 hours per course (see below). Passing all exams are required to receive CE credit (when available), or to receive the KI Certificate of Completion. If you require CE credits toward your state license, you must order the National University of Health Sciences (NUHS) transcripts at the purple button below after you have completed the course and after you’ve received the KI Certificate of Completion..
Please note: It is your responsibility to know your state’s CE rules in regard to live streaming webinar or online educational programs before enrolling in the Kharrazian Institute program.
APPROVALS FOR ON DEMAND
Degenerative Joint, Muscle, and Bone Conditions – Clinical Strategies and Treatment Applications (Course Nineteen): 6 hours
Please note! CE credits for state licenses for the Degenerative Joint, Muscle and Bone Conditions course via online video attendance generally have indefinite expiration for most states and specifically on the following dates for states listed below:
Arizona (expires 7/31/2027), Arkansas (expires 12/31/2025), California (expires 8/31/2026), Georgia (expires 12/31/2025), Hawaii (expires 12/31/2025), Kentucky (expires 9/20/2026), Missouri (expires 12/31/2026), New Mexico (expires 12/31/2025), Nevada (expires 12/31/2026), Pennsylvania (expires 9/1/2026). Texas (expires 8/31/2026).
Access to CE credits for these states is ongoing: Alaska, Colorado, Connecticut, Delaware, District of Columbia, Idaho, Illinois, Indiana, Iowa, Kansas, Maine, Maryland, Massachusetts, Michigan, Minnesota, Montana, Nebraska, New Hampshire, New Jersey, North Carolina, North Dakota, Ohio, Oregon, Rhode Island, South Carolina, South Dakota, Utah, Vermont, Virginia, Washington, and Wyoming.
CE credits not available for the following states via online video replays: Alabama, Louisiana, Mississippi, New York, Oklahoma, Tennessee, West Virginia, and Wisconsin.
Approvals as of December 1, 2025
Headaches Clinical Strategies and Treatment Applications (Course Eighteen): 6 hours
Please note! CE credits for state licenses for the Headaches course via online video attendance generally have indefinite expiration for most states and specifically on the following dates for states listed below:
Arizona (expires 3/18/2027), Arkansas (expires 12/31/2025), California (expires 4/31/2026), Georgia (expires 12/31/2025), Hawaii (expires 12/31/2025), Kentucky (expires 5/25/2026), Missouri (expires 12/31/2025), New Mexico (expires 12/31/2025), Nevada (expires 12/31/2026), Pennsylvania (expires 12/31/2025). Texas (expires 4/30/2026).
Access to CE credits for these states is ongoing: Alaska, Colorado, Connecticut, Delaware, District of Columbia, Idaho, Illinois, Indiana, Iowa, Kansas, Maine, Maryland, Massachusetts, Michigan, Minnesota, Montana, Nebraska, New Hampshire, New Jersey, North Carolina, North Dakota, Ohio, Oregon, Rhode Island, South Carolina, South Dakota, Utah, Vermont, Virginia, Washington, and Wyoming.
CE credits not available for the following states via online video replays.: Alabama, Louisiana, Mississippi, New York, Oklahoma, Tennessee, West Virginia, and Wisconsin.
Approvals as of December 1, 2025
Respiratory and Sinus Conditions Clinical Strategies and Treatment Applications
(Course Seventeen): 6 hours
Please note! CE credits for state licenses for the Respiratory and Sinus Conditions course via online video attendance generally have indefinite expiration for most states and specifically on the following dates for states listed below:
Arizona (expires 8/28/2026), Arkansas (expired 12/31/2024), California (expired 8/30/2025) Georgia (expired 12/31/2024), Hawaii (expires 12/31/2025), Kentucky (expired 9/22/2025), Missouri (expires 12/31/2025), New Mexico (expired 12/31/2024), Nevada (expires 12/31/2026), Pennsylvania (expires 9/1/2026). Texas (expired 8/31/2025).
Access to CE credits for these states is ongoing: Alaska, Colorado, Connecticut, Delaware, District of Columbia, Idaho, Illinois, Indiana, Iowa, Kansas, Maine, Maryland, Massachusetts, Michigan, Minnesota, Montana, Nebraska, New Hampshire, New Jersey, North Carolina, North Dakota, Ohio, Oregon, Rhode Island, South Carolina, South Dakota, Utah, Vermont, Virginia, Washington, and Wyoming.
CE credits not available for the following states via online video replays.: Alabama, Louisiana, Mississippi, New York, Oklahoma, Tennessee, West Virginia, and Wisconsin.
Approvals as of December 1, 2025
Chronic Inflammation Clinical Strategies and Treatment Applications
(Course Sixteen): 6.5 hours (exceptions noted below)
Please note! CE credits for state licenses for the Chronic Inflammation course via online video attendance generally have indefinite expiration for most states and specifically on the following dates for states listed below:
Arizona (expires 3/28/2026), Arkansas (expired 12/31/2024), California (6 hours CE credit only – expired 4/30/2025), Georgia (expired 12/31/2024), Hawaii (6 hours CE credit only – expires 12/31/2025), Kentucky (expired 5/12/2025), New Mexico (expired 12/31/2024), Nevada (expired), Pennsylvania (expired 9/1/2024). Texas (expired 4/30/2025).
Access to CE credits for these states is ongoing: Alaska, Colorado, Connecticut, Delaware, District of Columbia, Idaho, Illinois, Indiana, Iowa, Kansas, Maine, Maryland, Massachusetts, Michigan, Minnesota, Montana, Nebraska, New Hampshire, New Jersey, North Carolina, North Dakota, Ohio, Oregon, Rhode Island, South Carolina, South Dakota, Utah, Vermont, Virginia, Washington, and Wyoming.
CE credits not available for the following states via online video replays.: Alabama, Louisiana, Mississippi, New York, Oklahoma, Tennessee, West Virginia, and Wisconsin.
Approvals as of December 1, 2025
Essentials of Functional Medicine (Course Fifteen): 8 hours
Please note! CE credits for state licenses for the Essentials of Functional Medicine course via online video attendance generally have indefinite expiration for most states and specifically on the following dates for states listed below:
Arizona (expires 3/31/2028), Arkansas (expired 12/31/2025), California (expires 4/31/2027), Florida (4/27/2026 through 4/27/2028), Â Georgia (expires 12/31/2026), Hawaii (expired 12/31/2025), Kentucky (expired 4/1/2026), Missouri (expires 12/31/2027), Nevada (expires 12/31/2026), Pennsylvania (expires 9/1/2026). Texas (expires 2/28/2027).
Access to CE credits for these states is ongoing: Alaska, Colorado, Connecticut, Delaware, District of Columbia, Idaho, Illinois, Indiana, Iowa, Kansas, Maine, Maryland, Massachusetts, Michigan, Minnesota, Missouri, Montana, Nebraska, New Hampshire, New Jersey, North Carolina, North Dakota, Ohio, Oregon, Rhode Island, South Carolina, South Dakota, Utah, Vermont, Virginia, Washington, and Wyoming.
CE credits not available for the following states via online video replays.: Alabama, Louisiana, Mississippi, New Mexico, New York, Oklahoma, Tennessee, West Virginia, and Wisconsin.
Approvals as of April 13, 2026
Hormone Imbalances Clinical Strategies and Treatment Applications
(Course Fourteen): 12 hours
Please note! CE credits for state licenses for the Hormone Imbalances course via online video attendance generally have indefinite expiration for most states and specifically on the following dates for states listed below:
Arizona (expires 6/4/2026), Arkansas (expired 12/31/2024), California (expired 12/31/2024), Hawaii (expires 12/31/2025), Kentucky (expired 01/01/2025), Nevada (expired), New Mexico (expired 01/01/2025), Pennsylvania (expired 09/01/2024). Texas (expired 12/31/2024).
Access to CE credits for these states is ongoing: Alaska, Colorado, Connecticut, Delaware, District of Columbia, Idaho, Illinois, Indiana, Iowa, Kansas, Maine, Maryland, Massachusetts, Michigan, Minnesota, Montana, Nebraska, New Hampshire, New Jersey, North Carolina, North Dakota, Ohio, Oregon, Rhode Island, South Carolina, South Dakota, Utah, Vermont, Virginia, Washington, and Wyoming.
CE credits not available for the following states via online video replays.: Alabama, Louisiana, Mississippi, New York, Oklahoma, Tennessee, West Virginia, and Wisconsin.
Approvals as of December 1, 2025
Chronic Infections Clinical Strategies and Treatment Applications
(Course Thirteen): 12 hours
Please note! CE credits for state licenses for the Chronic Infections course via online video attendance generally have indefinite expiration for most states and specifically on the following dates for states listed below:
Arizona (expired 03/20/2025)
Access to CE credits for these states is ongoing: Alaska, Colorado, Connecticut, Delaware, District of Columbia, Idaho, Illinois, Indiana, Iowa, Kansas, Maine, Maryland, Massachusetts, Michigan, Minnesota, Montana, Nebraska, New Hampshire, New Jersey, North Carolina, North Dakota, Ohio, Oregon, Rhode Island, South Carolina, South Dakota, Utah, Vermont, Virginia, Washington, and Wyoming.
CE credits not available for the following states via online video replays.: Alabama, Louisiana, Mississippi, New York, Oklahoma, Tennessee, West Virginia, and Wisconsin.
Approvals as of December 1, 2025
Longevity and Wellness Optimization Clinical Strategies and Treatment Applications (Course Twelve): 12 hours
Please note! CE credits for state licenses for the Longevity and Wellness course via online video attendance generally have indefinite expiration for most states listed below.
Access to CE credits for these states is ongoing: Alaska, Colorado, Connecticut, Delaware, District of Columbia, Idaho, Illinois, Indiana, Iowa, Kansas, Maine, Maryland, Massachusetts, Michigan, Minnesota, Montana, Nebraska, New Hampshire, New Jersey, North Carolina, North Dakota, Ohio, Oregon, Rhode Island, South Carolina, South Dakota, Utah, Vermont, Virginia, Washington, and Wyoming.
CE credits not available for the following states via online video replays.: Alabama, Louisiana, Mississippi, New York, Oklahoma, Tennessee, West Virginia, and Wisconsin.
Approvals as of February 19, 2025
Mood and Anxiety Disorders Clinical Strategies and Treatment Applications
(Course Eleven): 12 hours
Please note! CE credits for state licenses for the Mood and Anxiety Disorders course via online video attendance generally have indefinite expiration for states listed below.
Access to CE credits for these states is ongoing: Alaska, Colorado, Connecticut, Delaware, District of Columbia, Idaho, Illinois, Indiana, Iowa, Kansas, Maine, Maryland, Massachusetts, Michigan, Minnesota, Montana, Nebraska, New Hampshire, New Jersey, North Carolina, North Dakota, Ohio, Oregon, Rhode Island, South Carolina, South Dakota, Utah, Vermont, Virginia, Washington, and Wyoming.
CE credits not available for the following states via online video replays.: Alabama, Louisiana, Mississippi, New York, Oklahoma, Tennessee, West Virginia, and Wisconsin.
Approvals as of February 19, 2025
Cardiovascular and Neurovascular Syndromes Clinical Strategies and Treatment Applications (Course Ten): 12 hours
Please note! CE credits for these state licenses for the Cardiovascular course via Online video attendance are available when the course is completed on or after October 27, 2025 and those credits expire specifically on the dates below:
Arizona (expires 8/31/2027), Arkansas (expired 12/31/2025), California (expires 9/31/2026), Florida (5/4/2026 through 5/4/2028), Georgia (expires 12/31/2026), Hawaii (expired 12/31/2025), Kentucky (expires 10/27/2026), Missouri (expires 12/31/2027), Nevada (expires 12/31/2026), New Mexico (expires 10/26/2026), Pennsylvania (expires 9/1/2026). Texas (expires 9/30/2026).
Access to CE credits for these states is ongoing: Alaska, Colorado, Connecticut, Delaware, District of Columbia, Idaho, Illinois, Indiana, Iowa, Kansas, Maine, Maryland, Massachusetts, Michigan, Minnesota, Montana, Nebraska, New Hampshire, New Jersey, North Carolina, North Dakota, Ohio, Oregon, Rhode Island, South Carolina, South Dakota, Utah, Vermont, Virginia, Washington, and Wyoming.
CE credits exception: Texas (only allows a total of 10 hours of online learning per renewal period).
CE credits not available for the following states via online video replays.: Alabama, Louisiana, Mississippi, New York, Oklahoma, Tennessee, West Virginia, and Wisconsin.
Approvals as of April 13, 2026
Childhood Development Disorders Clinical Strategies and Treatment Applications (Course Nine): 12 hours
Please note! CE credits for state licenses for the Childhood Development Disorders course via online video attendance generally have indefinite expiration for states listed below.
Access to CE credits for these states is ongoing: Alaska, Colorado, Connecticut, Delaware, District of Columbia, Georgia, Idaho, Illinois, Indiana, Iowa, Kansas, Maine, Maryland, Massachusetts, Michigan, Minnesota, Montana, Nebraska, New Hampshire, New Jersey, North Carolina, North Dakota, Ohio, Oregon, Rhode Island, South Carolina, South Dakota, Utah, Vermont, Virginia, Washington, and Wyoming.
CE credits not available for the following states via online video replays: Alabama, Louisiana, Mississippi, New Mexico, New York, Oklahoma, Tennessee, West Virginia, and Wisconsin.
Approvals as of February 19, 2025
Chronic Fatigue and Pain Syndromes Clinical Strategies and Treatment Applications (Course Eight): 12 hours
Please note! CE credits for these state licenses for the Chronic Fatigue and Pain course via Online video attendance are available when the course is completed on or after October 27, 2025 and those credits expire specifically on the dates below:
Arizona (expires 8/31/2027), Arkansas (expired 12/31/2025), California (expires 9/31/2026), Florida (5/4/2026 through 5/4/2028), Georgia (expires 12/31/2026), Hawaii (expired 12/31/2025), Kentucky (expires 8/27/2026), Missouri (expires 12/31/2026), Nevada (expires 12/31/2026), New Mexico (expires 10/27/2026), Pennsylvania (expires 9/1/2026). Texas (expires 9/30/2026).
Access to CE credits for these states is ongoing: Alaska, Colorado, Connecticut, Delaware, District of Columbia, Idaho, Illinois, Indiana, Iowa, Kansas, Maine, Maryland, Massachusetts, Michigan, Minnesota, Montana, Nebraska, New Hampshire, New Jersey, North Carolina, North Dakota, Ohio, Oregon, Rhode Island, South Carolina, South Dakota, Utah, Vermont, Virginia, Washington, and Wyoming.
CE credits exception: Texas (only allows a total of 10 hours of online learning per renewal period).
CE credits not available for the following states via Online video replays.: Alabama, Louisiana, Mississippi, New York, Oklahoma, Tennessee, West Virginia, and Wisconsin.
Approvals as of April 13, 2026
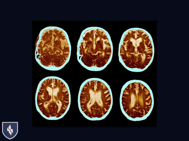
Cognitive Decline and Dementia Clinical Strategies and Treatment Applications
(Course Seven): 12 hours
Please note! CE credits for state licenses for the Cognitive Decline course via online video attendance generally have indefinite expiration for states listed below.
Access to CE credits for these states is ongoing: Alaska, Colorado, Connecticut, Delaware, District of Columbia, Idaho, Illinois, Indiana, Iowa, Kansas, Maine, Maryland, Massachusetts, Michigan, Minnesota, Montana, Nebraska, New Hampshire, New Jersey, North Carolina, North Dakota, Ohio, Oregon, Rhode Island, South Carolina, South Dakota, Utah, Vermont, Virginia, Washington, and Wyoming.
CE credits not available for the following states via online video replays.: Alabama, Louisiana, Mississippi, New Mexico, New York, Oklahoma, Tennessee, West Virginia, and Wisconsin.
Approvals as of February 19, 2025
Canada CE Credits: Ontario province is approved through National University for a maximum of 12 hours of CE credit for the Cognitive Decline and Dementia course via On Demand video replays for DCs. Please check with your board before registering for any KI courses on how many hours they will honor.
Infertility, Prenatal Care, and Maternal Health Clinical Strategies and Treatment Applications (Course Six): 12 hours
Please note! CE credits for state licenses for the Infertility course via online video attendance generally have indefinite expiration for states listed below.
Access to CE credits for these states is ongoing: Alaska, Colorado, Connecticut, Delaware, District of Columbia, Idaho, Illinois, Iowa, Kansas, Maine, Maryland, Massachusetts, Michigan, Minnesota, Montana, Nebraska, New Hampshire, New Jersey, North Carolina, North Dakota, Ohio, Oregon, Rhode Island, South Carolina, South Dakota, Utah, Vermont, Virginia, Washington.
CE credits not available for the following states via online video replays: Alabama, Indiana, Kentucky, Louisiana, Mississippi, New Mexico, New York, Oklahoma, West Virginia, Wisconsin, Wyoming
Approvals as of February 19, 2025
Diabetes and Dysglycemia Clinical Strategies and Treatment Applications
(Course Five): 12 hours
Please note! CE credits for these state licenses for the Diabetes course via Online video attendance are available when the course is completed on or after October 27, 2025 and those credits expire specifically on the dates below:
Arizona (expires 8/31/2027), Arkansas (expired 12/31/2025), California (expires 9/31/2026), Florida (5/5/2026 through 5/5/2028), Georgia (expires 12/31/2026), Hawaii (expired 12/31/2025), Kentucky (expires 10/27/2026), Missouri (expires 12/31/2026), Nevada (expires 12/31/2026), New Mexico (expires 10/26/2026), Pennsylvania (expires 9/1/2026). Texas (expires 9/30/2026).
Access to CE credits for these states is ongoing: Alaska, Colorado, Connecticut, Delaware, District of Columbia, Idaho, Illinois, Indiana, Iowa, Kansas, Maine, Maryland, Massachusetts, Michigan, Minnesota, Montana, Nebraska, New Hampshire, New Jersey, North Carolina, North Dakota, Ohio, Oregon, Rhode Island, South Carolina, South Dakota, Utah, Vermont, Virginia, Washington, and Wyoming.
CE credits exception: Texas (only allows a total of 10 hours of online learning per renewal period).
CE credits not available for the following states via Online video replays.: Alabama, Louisiana, Mississippi, New York, Oklahoma, Tennessee, West Virginia, and Wisconsin.
Approvals as of April 13, 2026
Hashimoto’s Clinical Strategies and Treatment Applications (Course Four): 12 hours
Please note! CE credits for state licenses for the Hashimoto’s course via online video attendance generally have indefinite expiration for states listed below.
Access to CE credits for these states is ongoing: Alaska, Colorado, Connecticut, Delaware, District of Columbia, Idaho, Illinois, Iowa, Kansas, Maine, Maryland, Massachusetts, Michigan, Minnesota, Montana, Nebraska, New Hampshire, New Jersey, North Carolina, North Dakota, Ohio, Oregon, Rhode Island, South Carolina, South Dakota, Utah, Vermont, Virginia, Washington
CE credits not available for the following states via online video replays: Alabama, Indiana, Kentucky, Louisiana, Mississippi, New Mexico, New York, Oklahoma, West Virginia, Wisconsin, Wyoming
Approvals as of February 19, 2025
Autoimmunity Clinical Strategies and Treatment Applications (Course Three): 12 hours
Please note! CE credits for these state licenses for the Autoimmunity course via Online video attendance are available when the course is completed on or after October 27, 2025 and those credits expire specifically on the dates below:
Arizona (expires 7/31/2027), Arkansas (expired 12/31/2025), California (expires 9/31/2026), Florida (5/5/2026 through 5/5/2028), Georgia (expires 12/31/2026), Hawaii (expired 12/31/2025), Kentucky (expires 10/27/2026), Missouri (expires 12/31/2026), Nevada (expires 12/31/2026), New Mexico (expires 10/26/2026), Pennsylvania (expires 9/1/2026). Texas (expires 9/30/2026).
Access to CE credits for these states is ongoing: Alaska, Colorado, Connecticut, Delaware, District of Columbia, Idaho, Illinois, Indiana, Iowa, Kansas, Maine, Maryland, Massachusetts, Michigan, Minnesota, Montana, Nebraska, New Hampshire, New Jersey, North Carolina, North Dakota, Ohio, Oregon, Rhode Island, South Carolina, South Dakota, Utah, Vermont, Virginia, Washington, and Wyoming.
CE credits exception: Texas (only allows a total of 10 hours of online learning per renewal period).
CE credits not available for the following states via Online video replays.: Alabama, Louisiana, Mississippi, New York, Oklahoma, Tennessee, West Virginia, and Wisconsin.
Approvals as of April 13, 2026
Canada CE Credits: Ontario province is approved through National University for a maximum of 12 hours of CE credit for the Autoimmunity course via On Demand video replays for DCs. Please check with your board before registering for any KI courses on how many hours they will honor.
Gastrointestinal Clinical Strategies and Treatment Applications (Course Two): 12 hours
Please note! CE credits for state licenses for the Gastrointestinal course via Online video attendance are available when the course is completed on or after October 27, 2025 and those credits expire specifically on the dates below:
Arizona (expires 8/31/2027), Arkansas (expired 12/31/2025), California (expires 9/31/2026), Florida (5/4/2026 through 5/4/2028), Georgia (expires 12/31/2026), Hawaii (expired 12/31/2025), Kentucky (expires 10/27/2026), Missouri (expires 12/31/2026), Nevada (expires 12/31/2026), New Mexico (expires 10/26/2026), Pennsylvania (expires 9/1/2026). Texas (expires 9/30/2026).
Access to CE credits for these states is ongoing: Alaska, Colorado, Connecticut, Delaware, District of Columbia, Idaho, Illinois, Indiana, Iowa, Kansas, Maine, Maryland, Massachusetts, Michigan, Minnesota, Montana, Nebraska, New Hampshire, New Jersey, North Carolina, North Dakota, Ohio, Oregon, Rhode Island, South Carolina, South Dakota, Utah, Vermont, Virginia, Washington, and Wyoming.
CE credits exception: Texas (only allows a total of 10 hours of online learning per renewal period).
CE credits not available for the following states via Online video replays.: Alabama, Louisiana, Mississippi, New York, Oklahoma, Tennessee, West Virginia, and Wisconsin.
Approvals as of April 13, 2026
Neuroinflammation Clinical Strategies and Treatment Applications
(Course One): 12 hours
Please note! CE credits for state licenses for the Neuroinflammation course via online video attendance generally have indefinite expiration for states listed below.
Access to CE credits for these states is ongoing: Alaska, Colorado, Connecticut, Delaware, District of Columbia, Idaho, Illinois, Iowa, Kansas, Maine, Maryland, Massachusetts, Michigan, Minnesota, Montana, Nebraska, New Hampshire, New Jersey, North Carolina, North Dakota, Ohio, Oregon, Rhode Island, South Carolina, South Dakota, Utah, Vermont, Virginia, Washington.
CE credits not available for the following states via online video replays: Alabama, Indiana, Kentucky, Louisiana, Mississippi, New Mexico, New York, Oklahoma, West Virginia, Wisconsin, Wyoming
Approvals as of August 28, 2025
Canada CE Credits: Ontario province is approved through National University for a maximum of 12 hours of CE credit for the Neuroinflammation course via On Demand video replays for DCs. Please check with your board before registering for any KI courses on how many hours they will honor.
RECEIVING EDUCATIONAL CREDITS
If you require the National University of Health Sciences (NUHS) transcripts to receive your CE credits, click the purple button below AFTER you have completed the course(s) and after you have received the KI Certificate of Completion. Please submit your dated KI Certificate to NUHS (neuroverification@nuhs.edu) to validate your attendance.
When requesting an attendance verification, registrants will need to list the title of the course(s) for which they’d like an attendance verification and through whom they took the course(s): Kharrazian Institute.
